Experience next-level vitality through customized hormone and performance solutions for men and women.
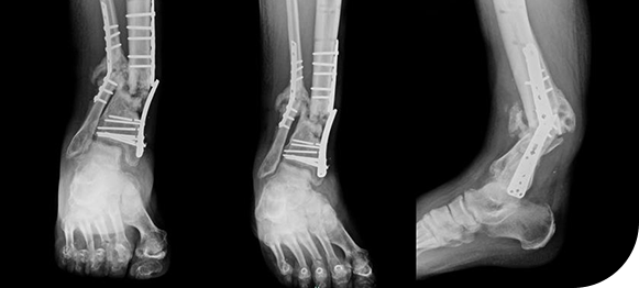
Trauma
Orthopedic trauma care focuses on treating injuries caused by accidents, falls, or high-impact events. This includes damage to bones, joints, muscles, and ligaments that require prompt evaluation and expert management to restore function and mobility.
Know More
Fracture
Fracture care involves diagnosing and treating broken bones using both non-surgical and surgical techniques. Treatment plans are tailored to ensure proper alignment, healing, and a safe return to daily activities.
Know More
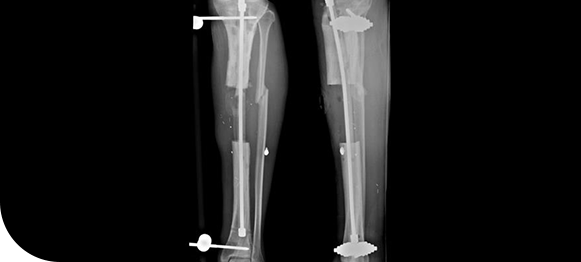
Nonunion
A nonunion occurs when a fractured bone fails to heal properly over time. Specialized orthopedic treatments are used to stimulate healing, restore bone stability, and prevent long-term pain or disability.
Know More
Deformity
Orthopedic deformity correction addresses abnormal bone alignment or limb shape caused by injury, disease, or congenital conditions. Advanced surgical techniques help restore normal anatomy, balance, and movement.
Know More
Know MoreStature Lengthening
Stature lengthening is a specialized procedure designed to increase limb length or correct limb length discrepancies. It is performed using advanced orthopedic techniques that gradually promote new bone growth.
Know MoreBone Defect
Bone defects result from trauma, infection, or previous surgery, leaving gaps or weakened areas in the bone. Treatment focuses on reconstructing and strengthening the bone to restore structural integrity and function.

Osteomyelitis
Osteomyelitis is a serious bone infection that requires timely and comprehensive treatment. Management may include antibiotics, surgical debridement, and reconstructive procedures to eliminate infection and preserve bone health.
Know More
Medical-Legal Expert
Objective, evidence-based medical opinions to support legal proceedings, claims evaluations, and case resolution with clarity and integrity.
Know More
If you wish to be advised on the most appropriate treatment, please call to schedule an appointment or click to request an appointment online .




